veröffentlichende Fachgesellschaft: Deutsche Gesellschaft für Kardiologie – Herz- und Kreislaufforschung e.V. (DGK), Deutsche Gesellschaft für Notfallmedizin (DGINA), Deutsche Gesellschaft für Internistische Intensivmedizin und Notfallmedizin (DGIIN) & Deutsche Gesellschaft für Innere Medizin (DGIM)
Klassifikation gemäß AWMF:
Datum der Veröffentlichung: 10.07.2025
Ablaufdatum:
Quelle/Quelllink: https://doi.org/10.1007/s12181-025-00752-w
persönliche, personelle und apparative Voraussetzungen einer fTEE
- fTEE in Notaufnahmen bzw. in Notfallzentren soll nur im Rahmen der erweiterten kardiopulmonalen Reanimation oder im unklaren Schockgeschehen durchgeführt werden, falls die Fragestellung in diesem Kontext nicht mittels einer fokussierten transthorakalen Echokardiographie („cardiac point of care ultrasound“ [cPOCUS]) beantwortet werden kann
- zur Durchführung einer aussagekräftigen und für den Patienten sicheren fTEE soll der Untersucher mit dem Verfahren vertraut und das Assistenzpersonal angemessen geschult sein, zudem sollte ein Programm zur Qualitätskontrolle vorhanden sein (als Instrument zur individuellen Qualitätssicherung ist ein hausinternes Curriculum zusammen mit kardiologischer Fachexpertise erforderlich)
Übersicht der Verfahren

Komplikationen im Rahmen der fTEE-Untersuchung
- absolute Kontraindikationen
- Erkrankungen im oberen Gastrointestinaltrakt mit hohem Komplikationsrisiko (insbesondere Perforation, Strikturen, Traumata, Operationen, tracheoösophageale Fisteln)
- kürzliche obere gastrointestinale Chirurgie und/oder Blutung
- relative Kontraindikationen
- Erkrankungen im oberen Gastrointestinaltrakt mit moderatem Komplikationsrisiko (z. B. Barrett-Ösophagus, Mallory-Weiss-Syndrom, Ösophagus‑/Fundusvarizen, Zencker-Divertikel, Dysphagie)
- kürzliche bariatrische Chirurgie, Koagulopathien/Thrombopenien/Antikoagulationstherapie/ Blutgerinnungsstörungen
- Empfehlungen
- vor jeder fTEE-Untersuchung sollte sich das untersuchende ärztliche Personal stets vergewissern, ob eine Indikation bzw. Kontraindikation für bzw. gegen eine fTEE-Untersuchung vorliegt und die Fragestellung nicht bereits mittels einer transthorakalen Echokardiographie (cardiac point of care ultrasound, cPOCUS) oder einer anderen Untersuchungsmodalität (z. B. Computertomographie) beantwortet werden kann
- ärztliches Personal, das eine fTEE-Untersuchung durchführt, sollte über Kenntnisse von TEE-assoziierten Komplikationen und deren Komplikationsmanagement verfügen
- vor jeder fTEE-Untersuchung sollte unter Berücksichtigung möglicher milder bis schwerer Komplikationen eine individuelle Nutzen-Schaden Abwägung erfolgen
Standardschnitte der fTEE-Untersuchung
Anlotebene: 4‑Kammer-Blick
Sondenposition: mittösophageal
Rotationswinkel: 0°
Anlotebene: 2‑Kammer-Blick
Sondenposition: mittösophageal
Rotationswinkel: 90°
Anlotebene: lange Achse
Sondenposition: mittösophageal
Rotationswinkel: 130°
Anlotebene: linkes Vorhofohr
Sondenposition: mittösophageal (ggf. leichte mechanische Längsrotation der Sonde nach links gegen den Uhrzeigersinn)
Rotationswinkel: 45-60-90-135°
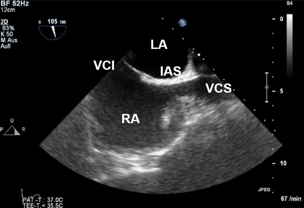
Anlotebene: bikavaler Blick
Sondenposition: mittösophageal (ggf. leichte mechanische Längsrotation der Sonde nach rechts im Uhrzeigersinn)
Rotationswinkel: 100°
Anlotebene: kurze Achse
Sondenposition: transgastrisch
Rotationswinkel: 0°






- Empfehlungen
- im Rahmen der fTEE-Untersuchung sollten eine mittösophageale und transgastrische Position des Schallkopfs angestrebt werden
unklarer Schock
- Differenzialdiagnostikum des unklaren Schocks ist primär eine Domäne der fTTE im Rahmen des RUSH(„rapid ultrasound for shock and hypotension“)-Protokolls
- Orientierungshilfe zu klinischen Fragestellungen in der Notaufnahme und die Rolle der TEE-Untersuchung im Rahmen der Akutdiagnostik


- mögliche Indikationen der fTEE-Untersuchung im unklaren Schockgeschehen
- Aortendissektion, falls CT nicht verfügbar bzw. durchführbar
- kardiogener Schock, u. a. links- oder rechtsventrikuläre Dysfunktion
- Lungenarterienembolie, falls CT nicht verfügbar bzw. durchführbar
- Tamponade, z.B. im Rahmen eines traumatischen Kreislaufstillstandes
- Endokarditis-assoziierter septischer Schock
- Echokardiographiemodalitäten in der Klinischen Akut- und Notfallmedizin in Abhängigkeit von der fachlichen Kompetenz und der hämodynamischen Situation

- Empfehlungen
- fokussierte transthorakale Echokardiographie soll im Rahmen des unklaren Schockgeschehens („rapid ultrasound for shock and hypotension“ [RUSH]) oder der kardiopulmonalen Reanimation („focused echocardiographic evaluation in life support“ [FEEL]) als primäres bildgebendes Akutdiagnostikum im Vordergrund stehen
- falls die fokussierte transthorakale Echokardiographie im Rahmen der Akutdiagnostik nicht wegweisend oder unklar sein sollte, kann unter den oben beschriebenen Voraussetzungen, eine fTEE im Rahmen des Schockraummanagements der Notaufnahme durchgeführt werden
- kann unter fTEE-Bedingungen wiederum keine eindeutige Diagnose gesichert werden, sollte erst nach Stabilisierung der Patient*innen und bestehendem Verdacht auf eine kardiale Ätiologie ein cTEE angestrebt werden
- differenzierte cTEE-Untersuchung und echokardiographische Beurteilung der teils komplexen Pathologien soll von Fachärzt*innen für Kardiologie mit Echokardiographiekompetenz oder unter seiner/ihrer Supervision durchgeführt werden
kardiale Emboliequellen im Rahmen von Kardioversionen
- Empfehlungen
- echokardiographische Evaluation bezüglich kardialer Emboliequellen im Rahmen von Kardioversionen soll durch eine umfassende TEE-Untersuchung (cTEE) erfolgen
- qualitative Beurteilung des LAA mittels cTEE soll von Fachärzt*innen mit echokardiographischer Expertise und Erfahrung – idealerweise Fachärzt*innen für Kardiologie – durchgeführt werden
fTEE im Rahmen einer Notfall-ECMO-Anlage (eCPR)
- Empfehlungen
- im Rahmen der Thoraxkompressionen insbesondere unter Einsatz von mechanischen Reanimationshilfen können ein Perikarderguss und eine Aortendissektion als Ursache des Kreislaufstillstandes via rTEE zeitnah diagnostiziert werden
- unter eCPR sollte ein rTEE zur Lagekontrolle der Führungsdrähte und Kanülen sowie der Detektion von möglichen Implantations-assoziierten Komplikationen wie Perikarderguss oder Aortendissektion erfolgen
- nach jeder ECLS-Anlage sollte zeitnah mittels rTEE das Ausmaß der LV-Distension (Notwendigkeit eines LV-Unloadings) beurteilt werden


Sei der Erste der einen Kommentar abgibt